Wir verwenden Cookies, um Ihre Erfahrung zu verbessern. Um die neuen Datenschutzrichtlinien zu erfüllen, müssen wir Sie um Ihre Zustimmung für Cookies fragen. Weitere Informationen
Wenn Sie Calciumablagerungen haben…
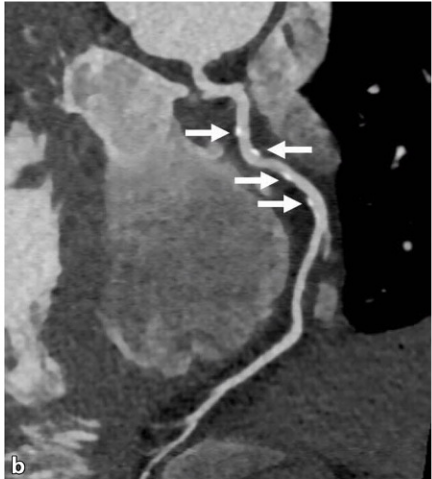
Aus Dänemark kommt eine interessante Studie zum Thema LDL, die einen neuen Blickwinkel auf die Entstehung eines Herzinfarkts oder einer arteriosklerotischen Herzerkrankung wirft. Man schaut mal nicht direkt per Blutmessung auf die Qualität der Blutfette oder des Insulin der Patienten, auch nicht auf die Oxidation und die Entstehung von Schaumzellen, sondern indirekt durch eine Koronarangiographie. So entstehen dann folgende Bilder, auf denen der Arzt feststellen kann, ob bereits Kalziumablagerungen entstanden sind oder nicht:

Die Studie von Mortensen mit über 20.000 Teilnehmern wurde daher unterschieden nach: Kalziumablagerung vorhanden (CAC>0) oder nicht vorhanden (CAC=0). Das gibt natürlich indirekt auch Auskunft über die Werte im Blut wieder, doch hier wurde eben ganz konkret nachgeschaut, welchen Zustand die Blutgefäße haben.
In den nun folgenden 4 Jahren kam es zu insgesamt 552 Schlaganfällen oder Herzinfarkten. Dabei zeigte sich, dass der absolute Blutwert LDL zugleich kein Risiko und dann doch ein Risiko darstellt. Die Lösung des Rätsels ist natürlich der CAC-Wert, der Jahre zuvor festgestellt wurde, aber schauen Sie selbst:

In den Tabellen wird die Erhöhung der Eintrittswahrscheinlichkeit dargestellt in Abhängigkeit von dem CAC-Wert, also ob Ablagerungen vorhanden waren oder nicht. Und wenn keine Ablagerungen vorhanden waren, dann war der LDL-Wert im Blut kein Risiko. Wenn sich jedoch bereits Ablagerungen gebildet hatten, dann wird LDL zu einem Risikowert. Das wird auch in Zahlen in der Studie deutlich:

Was man hier natürlich anmerken muss: Wenn Sie Kalziumablagerungen (CAC>0) haben, dann werden Sie auch im Blut eine Antwort nach dem „Warum“ finden. Dann helfen Ihnen Fragen wie:
- Wie hoch ist mein Insulinwert?
- Wie hoch ist mein Wert für oxLDL?
- Wie hoch sind meine Triglyceride?
- Wie hoch ist mein HDL?
- Liegt mein Quotient: Triglyceride (mg/dl) / HDL (mg/dl) unter 1.0?
- Ist mein Lipoprotein(A) erhöht?
- Ist eine Entzündung in meinem Körper messbar (hs C-RP)?
- Wie lautet die Partikelgröße für meine LDL-Partikel?
- Wie schaut mein Wert für Vitamin K2 im Blut aus?
Das sind die mir bekannten Risikofaktoren, die Sie auch ohne die Durchführung einer Koronarangiographie in Ordnung bringen können, damit eben erst keine Ablagerungen entstehen und somit auch kein Risiko für eine KHK entsteht.
Quellen:
Morphologische und funktionelle Diagnostik der koronaren Herzkrankheit mittels Computertomographie, S. Baumann et al., 2021, DOI: 10.1007/s00059-022-05098-7
Low-Density Lipoprotein Cholesterol Is Predominantly Associated With Atherosclerotic Cardiovascular Disease Events in Patients With Evidence of Coronary Atherosclerosis: The Western Denmark Heart Registry, Martin Bødtker Mortensen et al., 2023, DOI: 10.1161/CIRCULATIONAHA.122.061010
Über den Autor:
“Robert Krug beschäftigt sich seit 2016 intensiv mit dem Thema Gesundheit und Ernährung im Hinblick auf die Biochemie des Menschen. Seit 2019 veröffentlicht Robert Krug Bücher zu den Themen genetisch korrekte Ernährung und zur ganzheitlichen Betrachtung des Menschen. Doch lassen wir ihn selbst einmal zu Wort kommen, wie er seinen Weg zur Biochemie gefunden hat:
"Ich liebe es, Probleme zu lösen. Das wird mit ein Grund dafür gewesen sein, dass ich 1994 Wirtschaftsinformatik studiert und warum ich leidenschaftlich gern Software programmiert habe.
Mein Weg zur ganzheitlichen Medizin erfolgte aus der Not heraus, da ich in 2016 selbst erkrankte und von der Schulmedizin leider keine Hilfe bekam. So fing ich an, mich Stück für Stück mit meinen Problemen zu beschäftigen und zu lesen, um den Problemen auf den Grund zu gehen. Also das gleiche Vorgehen wie bei der Arbeit. Das war sozusagen der Start für mein inzwischen leidenschaftliches Interesse an der Biochemie und somit der Start meiner Reise."
”
